75岁的林爷爷因排尿困难就医,抽血检查发现摄护腺特异抗原PSA达6.42ng/ml,高于正常值4ng/ml。泌尿科主任蔡曜州进一步安排核磁造影与超音波影像融合切片,确诊为早期摄护腺癌,随即进行达文西摄护腺癌根除手术,在保留神经血管的情况下完整切除肿瘤。术后不仅恢复良好,排尿状况也明显改善。
卫福部110年癌症登记资料显示,摄护腺癌在台湾男性癌症发生率排名第6,死亡率第5,且超过三分之一患者确诊时已是第4期。蔡曜州指出,摄护腺癌早期症状与良性肥大相似,像是频尿、夜尿、尿流变细,很容易被忽略,一旦转移,治疗难度与风险都会大增。全国早期患者5年存活率约80.74%,晚期仅49.53%,凸显早期发现的重要性。
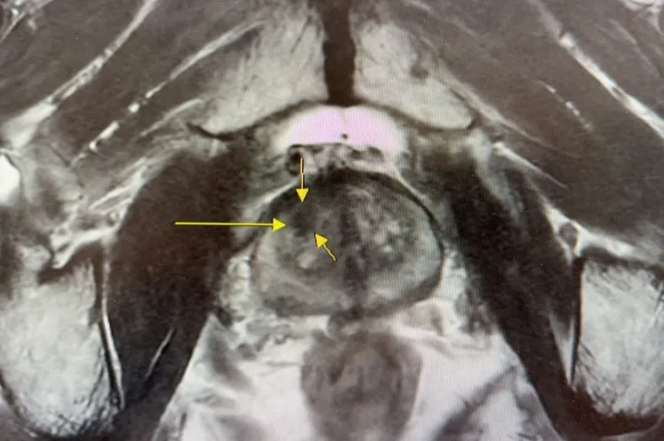
为提升诊断准确度,北慈以「核磁造影与超音波影像融合切片」取代传统随机切片,准确率提升6至7成,让病灶能在扩散前就被发现。早期患者5年存活率可达9成,即使是第4期患者,5年存活率仍接近6成。医疗团队也整合手术、放射线、化疗、贺尔蒙与标靶治疗,兼顾存活期与生活品质。医师提醒,排尿异常别只当老化,有家族史者更应及早检查,把握治疗黄金期。
點擊閱讀下一則新聞
共军环台军演 民航机危险?交通部批「无理蛮横」研议替代航路